img

9

Years Experience

img

who we are

welcome to
dental care by Shiv Priyansh

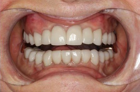
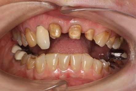
We have the trusted dental care partner in Mahanagar Extension, Lucknow. We specialize in advanced treatments, surgeries, and preventive care, all delivered with a commitment to your comfort and the latest dental innovations.

  • We are expertise in transformative landscaping
  • Award-winning team of seasoned professionals
  • Innovative ideas and forward-thinking solutions
img

call us

+91-97951-50009

what we do

our service

clients say

TESTIMONIALS

watch video

img

ABOUT THE DOCTOR

Dr. Anshuman Chaturvedi

He is a compassionate and experienced dental expert, dedicated to delivering personalized and advanced dental care.

  • img

    B.D.S., M.D.S.

    Specialization: Prosthodontics, Dentures, Crowns & Bridge, and Implantology

  • img

    Award for Excellence in Smile Makeover

    Indian Dental Excellence Forum

  • img

    Top Dental Surgeon Award

    Healthcare Awards India

ABOUT THE DOCTOR

Dr. Neha Verma

She is a skilled and caring dental professional, committed to providing gentle, high-quality treatment with a patient-first approach.

  • img

    B.D.S., M.D.S. in Pedodontics

    Specialization: Kids Dentist

  • img

    Best Pediatric Dentist Award

    National Dental Awards, 2023

  • img

    Excellence in Child Dental Care

    Indian Dental Association (IDA)

img



Don’t have insurance? No problem.

At our dental practice, we believe that everyone deserves access to high-quality care. Even without insurance, our affordable services ensure you receive exceptional treatment without the financial stress.

  • We prioritize convenience and confidence over high costs
  • Enjoy on-demand teeth cleanings for just Rs.129
  • No drills, judgment, or surprise treatments—ever
Schedule Your Visit
Insurance friendly dental care
WHY CHOOSE US ?

Changing Lives Through Exceptional Dental Care

  • img

    cutting edge technology

    We use the latest dental technology and equipment to ensure accurate diagnosis, effective treatment, and maximum comfort for our patients.

  • img

    personalised Approach

    Every patient is unique. We provide customized treatment plans tailored to individual needs, ensuring optimal oral health outcomes.

  • img

    longlastic results

    Our commitment to quality ensures durable and long-term dental solutions, giving you a healthy, confident smile that lasts.

join thousands of other patients who have transformed their smiles with dental implants!
call at +91-97951-50009

BOOK AN APPOINTMENT
img

blog

blog & news

schedule a

consultation

Ready to transform your smile? Schedule a personalized dental consultation with our expert team today!

office hours
  • Mon to Sun: 9:00am-9:00pm